
Палеопатологи обследовали с помощью компьютерной томографии мумифицированные останки четырех детей, которых около пяти веков назад инки принесли в жертву на вулканах, расположенных в Перу. Анализ снимков показал, что не все отобранные для жестокого ритуала дети были идеально здоровы, а перед смертью как минимум часть из них получила травмы головы. Кроме того, ученые заметили, что с останками одного ребенка, по-видимому, спустя какое-то время после смерти люди проводили дополнительные манипуляции, которые, возможно, были направлены на то, чтобы оставленное на горе тело лучше выглядело и сохранилось. Об этом сообщается в статье, опубликованной в Journal of Archaeological Science: Reports.
Империя инков (конец XIII — вторая половина XVI века) — самое известное и крупное политическое образование в доколумбовой Южной Америке, занимавшее на пике своего развития многие земли современных Перу, Боливии, Эквадора, а также частично Колумбии, Аргентины и Чили. Одной из заметных составляющих культуры инков выступали различные жертвоприношения. В частности, у них существовал ритуал капакоча, в рамках которого детей, подростков или молодых девушек из разных частей империи отправляли в Куско, где жрецы готовили их к будущему жертвоприношению.
После подготовки будущие жертвы отправлялись в сопровождении в далекое пешее путешествие к священным местам, располагавшимся на вершинах вулканов или гор, где одурманенных детей и подростков умерщвляли и оставляли на высоте вместе с разными подношениями. Поводом для такого жесткого ритуала могло выступать важное государственное событие: от смерти правителя или победы в войне до стихийного бедствия.
На этот раз Дагмара Соха (Dagmara Socha) из Варшавского университета и ее коллеги из научных организаций Австрии, Германии, Италии, Перу и США сосредоточили свое внимание на останках жертв капакочи, найденных в 1990-х годах на двух вулканах — Ампато и Сара-Сара, расположенных на юге Перу. На вершине Ампато исследователи нашли одну замороженную мумию — так называемую Деву Ампато, а также мумифицированные останки еще трех человек (мальчика и двух девочек) , оставленных инками примерно на полкилометра ниже по склону, где впоследствии два из трех тел пострадали от ударов молний. На вершине Сара-Сара исследователи также нашли останки девочки подросткового возраста.
Исследователи решили проанализировать с помощью компьютерной томографии останки четырех человек (всех упомянутых, кроме мальчика Ampato-3, чье захоронение пострадало от молнии). Они определили, что мумии с вершин Ампато и Сара-Сара принадлежали девочкам примерно одного возраста — около 14 ± 2 года. Два изученных ребенка, останки которых покоились ниже по склону Ампато, были младше. По оценкам специалистов, на момент смерти им было 8 ± 2 (Ampato-2) и 10 ± 2 (Ampato-4) года.
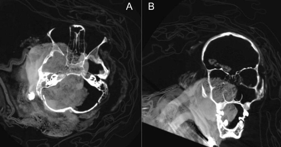
Анализ костей этих детей показал, что обе девушки с вершин вулканов перед смертью, по-видимому, получили серьезные черепно-мозговые травмы, которые вполне могли быть фатальными. Вполне возможно, что прижизненные травмы получили и девочки Ampato-4 и Ampato-2. Однако ученые подчеркнули, что на компьютерных томограммах сложнее отличить переломы костей, полученные при жизни и после смерти, чем в случаях, когда ученые работают не с мумифицированными останками и используют различные микроскопические методы. Кроме того, у ребенка Ampato-2 исследователи выявили патологию пищевода и кальцинаты в легких, которые противоречат мнению о том, что для капакочи отбирали детей с идеальным здоровьем.
Отдельный интерес представляет мумия Ampato-4. Исследование этих останков показало, что спустя какое-то время после смерти люди проводили манипуляции с телом ребенка. Ученые обнаружили, что многие кости внутри мумии были смещены, а некоторые и вовсе отсутствовали. Кроме того, внутри грудной клетки они заметили инородные предметы, представляющие собой камни и куски ткани. Вполне вероятно, что люди привели в надлежащий вид замороженную мумию через какое-то время после смерти ребенка (возможно, она произошла не в том месте, где впоследствии исследователи нашли останки), так как сохранность тела ребенка была важным атрибутом ритуала.
Исследования мумий с этих вулканов проходили и раньше. Например, ученые провели химико-токсикологические анализы волос и ногтей девочки и мальчика, похороненных на Ампато. Тогда они выяснили, что в течение последних недель жизни дети употребляли коку и аяуаску.


