
Систематический обзор и метаанализ показали, что общая доля случаев острого инвазивного грибкового риносинусита среди пациентов с ослабленным иммунитетом увеличилась на 7,5 процентного пункта за период после 2013 года. При этом, как сообщается в журнале JAMA Otolaryngology — Head & Neck Surgery, смертность от этой патологии снизилась с 41,9 процента в период до 2013 года до 28,2 процента в период после 2013 года.
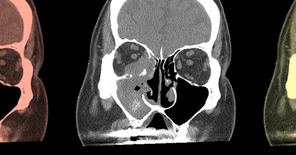
Острый инвазивный грибковый риносинусит считается потенциально опасным для жизни заболеванием, которое часто возникает у пациентов с иммунодефицитами. Инфекция развивается из-за инфильтрации слизистой оболочки носа и околоносовых пазух грибковыми организмами родов Aspergillus, Candida и Mucor и приводит к повреждению тканей, некрозу, а в тяжелых случаях — к распространению инфекции в другие органы.
Частота возникновения грибкового риносинусита варьируется в зависимости от анализируемой популяции и основных факторов риска: разброс составляет от 0,11 до 7,7 случая на миллион человек в год. Однако эпидемиология этого состояния с течением времени остается малоизученной.
Исследовательская группа под руководством Анджелы Дональдсон (Angela Donaldson) из Клиники Мэйо изучила временные закономерности тенденций смертности и распространенности инвазивного грибкового риносинусита у людей с иммунодефицитами. Ученые предположили, что распространение новых методов диагностики и лечения в последние несколько лет должны были повлиять на эпидемиологию этого заболевания. Чтобы подтвердить свою гипотезу, команда провела систематический обзор и метаанализ 205 исследований с общей выборкой из 48437 пациентов с ослабленным иммунитетом, в том числе 10311 с острым инвазивным грибковым риносинуситом. Статьи, включенные в анализ, охватывали период с 1983 по 2025 год.
Общая распространенность случаев грибкового риносинусита у пациентов с ослабленным иммунитетом составила 11,8 процента. Причем в последние года она заметно возросла: до 2013 года она оценивалась в 9,1 процента, а после — в 16,6 процента. Общий уровень смертности составил 31,2 процента, и с течением времени она снижалась. Так, до 2013 года смертность была заметно выше и достигала 41,9 процента, а после 2013 года она снизилась до 28,2 процента. Также анализ показал, что общий уровень осложнений грибкового риносинусита составил 37 процентов без значительной разницы между периодами исследования.
Наиболее частыми осложнениями заболевания стали потеря зрения (33,2 процента), экзофтальм или опущение века (30,3 процента), инвазия орбиты, требующая удаления глаза (17,2 процента) и перфорация неба (10,9 процента). Также наблюдались паралич лицевого нерва (5,5 процента), деформации лица (1,7 процента), перфорация носовой перегородки (0,6 процента) и нарушение обоняния (0,5 процента).
Ученые приходят к выводу, что в последние годы общая доля случаев инвазивного грибкового риносинусита у пациентов с иммунодефицитами возросла при снижении показателей смертности и осложнений. По их мнению, эти тенденции отражают достижения в диагностике и лечении, хотя растущая доля таких пациентов подчеркивает необходимость своевременного выявления заболевания.
Ежегодно грибковые инфекции уносят четыре миллиона жизней во всем мире. При этом Всемирная организация здравоохранения отмечает глобальные критические недостатки диагностики и лечения грибковых инфекций.

